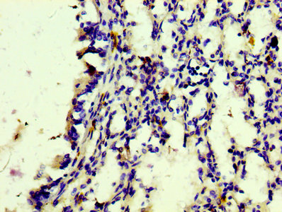
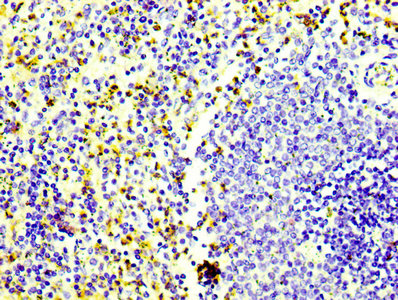
BackgroundAcute phase-regulated receptor involved in clearance and endocytosis of hemoglobin/haptoglobin complexes by macrophages and may thereby protect tissues from free hemoglobin-mediated oxidative damage. May play a role in the uptake and recycling of iron, via endocytosis of hemoglobin/haptoglobin and subsequent breakdown of heme. Binds hemoglobin/haptoglobin complexes in a calcium-dependent and pH-dependent manner. Exhibits a higher affinity for complexes of hemoglobin and multimeric haptoglobin of HP*1F phenotype than for complexes of hemoglobin and dimeric haptoglobin of HP*1S phenotype. Induces a cascade of intracellular signals that involves tyrosine kinase-dependent calcium mobilization, inositol triphosphate production and secretion of IL6 and CSF1. Isoform 3 exhibits the higher capacity for ligand endocytosis and the more pronounced surface expression when expressed in cells. After shedding, the soluble form (sCD163) may play an anti-inflammatory role, and may be a valuable diagnostic parameter for monitoring macrophage activation in inflammatory conditions.
DescriptionCD163 Monoclonal Antibody, clone RMC238A. Unconjugated. Raised in: Rabbit.
ConcentrationInquire
FormulationLiquid. Rabbit IgG in phosphate buffered saline, pH 7.4, 150mM NaCl, 0.02% sodium azide and 50% glycerol.
SpecificityHuman
Isotype IgG
Uniprot IDQ86VB7
PurificationAffinity Purified
ImmunogenA synthesized peptide
StorageShipped at 4°C. Upon receipt, store at -20°C (short-term) or -80°C (long-term). Avoid repeated freeze.
Alternative NamesScavenger receptor cysteine-rich type 1 protein M130, Hemoglobin scavenger receptor, CD163, Soluble CD163, sCD163, CD163, M130
ApplicationELISA, IHC, FC; Recommended dilution: IHC: 1:100-1:200