BackgroundAcyl-CoA thioesterases are a group of enzymes that catalyze the hydrolysis of acyl-CoAs to the free fatty acid and coenzyme A (CoASH), providing the potential to regulate intracellular levels of acyl-CoAs, free fatty acids and CoASH. Active on long chain acyl-CoAs.
DescriptionACOT9 Polyclonal Antibody. Unconjugated. Raised in: Rabbit.
FormulationLiquid. 0.03% Proclin 300, 50% Glycerol, 0.01M PBS, PH 7.4.
SpecificityHuman
IsotypeIgG
Uniprot IDQ9Y305
Purification>95%, Protein G purified
ImmunogenRecombinant Human Acyl-coenzyme A thioesterase 9, mitochondrial protein (1-212AA)
StorageShipped at 4°C. Upon delivery aliquot and store at -20°C (short-term) or -80°C (long-term). Avoid repeated freeze.
Alternative NamesAcyl-coenzyme A thioesterase 9, mitochondrial , Acyl-CoA thioesterase 9, Acyl-CoA thioester hydrolase 9, ACOT9, CGI-16
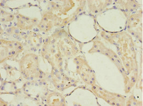
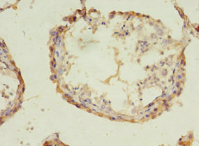
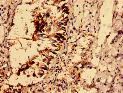
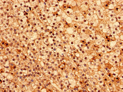
ApplicationELISA, IHC; Recommended dilution: IHC:1:20-1:200