BackgroundMay be involved in cell proliferation and cell motility.
DescriptionTSPAN7 Polyclonal Antibody. Unconjugated. Raised in: Rabbit.
FormulationLiquid. 0.03% Proclin 300, 50% Glycerol, 0.01M PBS, PH 7.4.
SpecificityHuman
IsotypeIgG
Uniprot IDP41732
Purification>95%, Protein G purified
ImmunogenRecombinant Human Tetraspanin-7 protein (113-223AA)
StorageShipped at 4°C. Upon delivery aliquot and store at -20°C (short-term) or -80°C (long-term). Avoid repeated freeze.
Alternative NamesCell surface glycoprotein A15 Membrane component chromosome X surface marker 1 T-cell acute lymphoblastic leukemia-associated antigen 1 Transmembrane 4 superfamily member 2 CD_antigen=CD231 TSPAN7 A15, DXS1692E, MXS1, TM4SF2
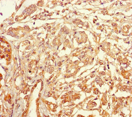
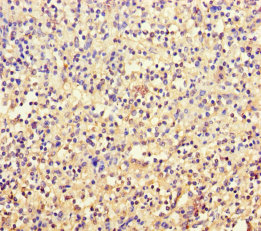
ApplicationELISA, IHC, IF; Recommended dilution: IHC:1:20-1:200, IF:1:50-1:200