BackgroundThe protein encoded by this gene is a nuclear hormone receptor for triiodothyronine. It is one of the several receptors for thyroid hormone, and has been shown to mediate the biological activities of thyroid hormone. Knockout studies in mice suggest that the different receptors, while having certain extent of redundancy, may mediate different functions of thyroid hormone. Mutations in this gene are known to be a cause of generalized thyroid hormone resistance (GTHR), a syndrome characterized by goiter and high levels of circulating thyroid hormone (T3-T4), with normal or slightly elevated thyroid stimulating hormone (TSH). Several alternatively spliced transcript variants encoding the same protein have been observed for this gene.
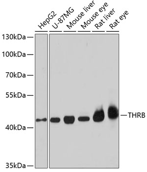
DescriptionTHRB Polyclonal Antibody. Unconjugated. Raised in: Rabbit.
FormulationBuffer: PBS with 0.02% sodium azide, 50% glycerol, pH7.3.
SpecificityHuman, Mouse, Rat
IsotypeIgG
Uniprot IDP10828
PurificationAffinity Purification
ImmunogenRecombinant fusion protein containing a sequence corresponding to amino acids 1-263 of human TRβ1/THRB (NP_000452.2)
StorageShipped at 4°C. Upon receipt, store at -20°C. Avoid freeze / thaw cycles
Alternative NamesTHRB; C-ERBA-2; C-ERBA-BETA; ERBA2; GRTH; NR1A2; PRTH; THR1; THRB1; THRB2; thyroid hormone receptor beta
ApplicationWB, IF; Recommended dilution: WB: 1:500-1:2000, IF:1:50-1:200