BackgroundThis gene encodes a member of the cellular heterogeneous nuclear ribonucleoprotein (hnRNP) family. hnRNPs are RNA binding proteins that complex with heterogeneous nuclear RNA (hnRNA) and regulate alternative splicing, polyadenylation, and other aspects of mRNA metabolism and transport. The encoded protein plays a role in multiple aspects of mRNA maturation and is associated with several multiprotein complexes including the apoB RNA editing-complex and survival of motor neurons (SMN) complex. Alternatively spliced transcript variants encoding multiple isoforms have been observed for this gene, and a pseudogene of this gene is located on the short arm of chromosome 20.
DescriptionSYNCRIP Recombinant Monoclonal Antibody [9C7]. Unconjugated. Raised in: HEK293F Cell.
FormulationBuffer: Rabbit IgG in phosphate buffered saline, pH 7.4, 150mM NaCl, 0.02% sodium azide and 50% glycerol.
SpecificityHuman
IsotypeRabbit IgG
Uniprot IDO60506
PurificationAffinity Chromatography
ImmunogenA synthesized peptide derived from human hnRNP Q
StorageUpon receipt, store at -20°C or -80°C. Avoid repeated freeze.
Alternative NamesHeterogeneous nuclear ribonucleoprotein Q (hnRNP Q) (Glycine- and tyrosine-rich RNA-binding protein) (GRY-RBP) (NS1-associated protein 1) (Synaptotagmin-binding, cytoplasmic RNA-interacting protein), SYNCRIP, HNRPQ NSAP1
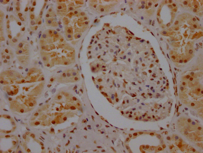
ApplicationELISA, IHC, IF; Recommended dilution: IHC:1:50-1:200, IF:1:20-1:200