BackgroundActs as an actin nucleation factor, remains associated with the slow-growing pointed end of the new filament. Involved in intracellular vesicle transport along actin fibers, providing a novel link between actin cytoskeleton dynamics and intracellular transport. Required for asymmetric spindle positioning and asymmetric cell division during meiosis. Required for normal formation of the cleavage furrow and for polar body extrusion during female germ cell meiosis.
DescriptionSPIRE2 Polyclonal Antibody. Unconjugated. Raised in: Rabbit.
FormulationLiquid. 0.03% Proclin 300, 50% Glycerol, 0.01M PBS, PH 7.4.
SpecificityHuman
IsotypeIgG
Uniprot IDQ8WWL2
Purification>95%, Protein G purified
ImmunogenRecombinant Human Protein spire homolog 2 protein (79-388AA)
StorageShipped at 4°C. Upon delivery aliquot and store at -20°C (short-term) or -80°C (long-term). Avoid repeated freeze.
Alternative NamesProtein spire homolog 2, Spir-2, SPIRE2, SPIR2
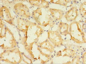
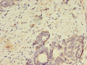
ApplicationELISA, IHC, IF; Recommended dilution: IHC:1:20-1:200, IF:1:50-1:200