BackgroundComponent of the telomerase ribonucleoprotein (RNP) complex that is essential for the replication of chromosome termini. May have a general role in telomere regulation. Promotes in vitro the ability of TERT to elongate telomeres. Overexpression induces telomere uncapping, chromosomal end-to-end fusions (telomeric DNA persists at the fusion points) and did not perturb TRF2 telomeric localization. Binds to the single-stranded 5'-(GTGTGG)(4)GTGT-3' telomeric DNA, but not to a telomerase RNA template component (TER).
DescriptionSMG6 Polyclonal Antibody. Unconjugated. Raised in: Rabbit.
FormulationLiquid. 0.03% Proclin 300, 50% Glycerol, 0.01M PBS, PH 7.4.
SpecificityHuman
IsotypeIgG
Uniprot IDQ86US8
Purification>95%, Protein G purified
ImmunogenRecombinant Human Telomerase-binding protein EST1A protein (251-511AA)
StorageShipped at 4°C. Upon delivery aliquot and store at -20°C (short-term) or -80°C (long-term). Avoid repeated freeze.
Alternative NamesTelomerase-binding protein EST1A, EST1-like protein A, Ever shorter telomeres 1A, Smg-6 homolog, Telomerase subunit EST1A, hSmg5/7a, SMG6, C17orf31, EST1A, KIAA0732
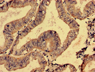
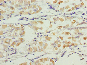
ApplicationELISA, IHC, IF; Recommended dilution: IHC:1:20-1:200, IF:1:50-1:200