BackgroundThe protein encoded by this gene belongs to the pancreatic ribonuclease family, a subset of the ribonuclease A superfamily. The protein exhibits antimicrobial activity against pathogenic bacteria
DescriptionRNASE3 Polyclonal Antibody. Unconjugated. Raised in: Rabbit.
FormulationBuffer: PBS with 0.02% sodium azide, 50% glycerol, pH7.3.
SpecificityHuman
IsotypeIgG
Uniprot IDP12724
PurificationAffinity Purification
ImmunogenRecombinant fusion protein containing a sequence corresponding to amino acids 28-160 of human RNASE3 (NP_002926.2).
StorageShipped at 4°C. Upon receipt, store at -20°C. Avoid freeze / thaw cycles
Alternative NamesRNASE3; ECP; RAF1; RNS3; eosinophil cationic protein
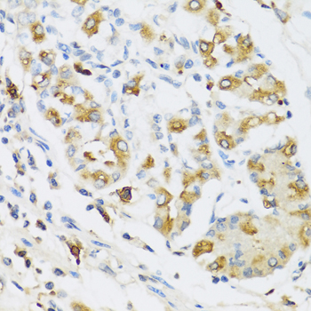
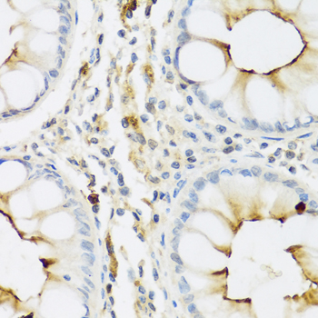
ApplicationIHC; Recommended dilution: IHC 1:50 - 1:100