BackgroundRegulates G protein-coupled receptor signaling cascades. Inhibits signal transduction by increasing the GTPase activity of G protein alpha subunits, thereby driving them into their inactive GDP-bound form. The RGS6/GNB5 dimer enhances GNAO1 GTPase activity.
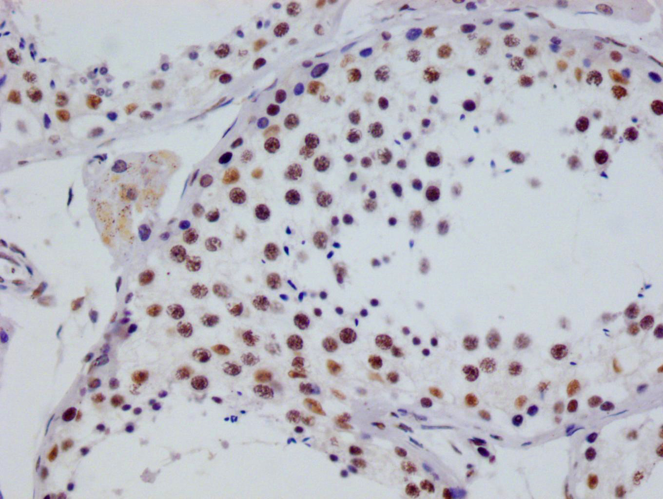
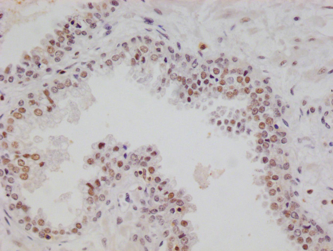
DescriptionRGS6 Recombinant Monoclonal Antibody [12H5]. Unconjugated. Raised in: HEK293F Cell.
FormulationBuffer: Rabbit IgG in phosphate buffered saline, pH 7.4, 150mM NaCl, 0.02% sodium azide and 50% glycerol.
SpecificityHuman
IsotypeRabbit IgG
Uniprot IDP49758
PurificationAffinity Chromatography
ImmunogenA synthesized peptide derived from human RGS6
StorageUpon receipt, store at -20°C or -80°C. Avoid repeated freeze.
Alternative NamesRegulator of G-protein signaling 6 (RGS6) (S914), RGS6
ApplicationELISA, IHC, IF; Recommended dilution: IHC:1:50-1:200, IF:1:50-1:200