BackgroundGolgi apparatus, GTPase activity, antigen processing and presentation, intracellular protein transport, Rab protein signal transduction, regulation of autophagosome assembly
DescriptionRAB33A Polyclonal Antibody. Unconjugated. Raised in: Rabbit.
FormulationLiquid. 0.03% Proclin 300, 50% Glycerol, 0.01M PBS, PH 7.4.
SpecificityHuman
IsotypeIgG
Uniprot IDQ14088
Purification>95%, Protein G purified
ImmunogenRecombinant Human Ras-related protein Rab-33A protein (1-237AA)
StorageShipped at 4°C. Upon delivery aliquot and store at -20°C (short-term) or -80°C (long-term). Avoid repeated freeze.
Alternative NamesRas-related protein Rab-33A, RAB33A, RABS10, Small GTP-binding protein S10
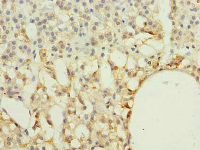
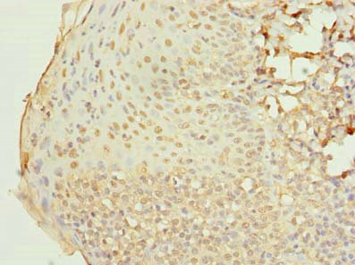
ApplicationELISA, IHC, IF; Recommended dilution: IHC:1:20-1:200, IF:1:50-1:200