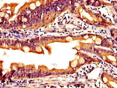
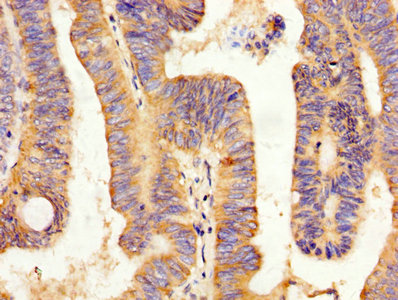
DescriptionPYY Polyclonal Antibody. Unconjugated. Raised in: Rabbit.
Formulation0.03% Proclin 300, 50% Glycerol, 0.01M PBS, PH 7.4
SpecificityHuman
IsotypeIgG
Uniprot IDP10082
PurificationProtein G purified
ImmunogenRecombinant Human Peptide YY protein (31-64AA)
StorageShipped at 4°C. Upon delivery aliquot and store at -20°C (short-term) or -80°C (long-term). Avoid repeated freeze.
Alternative NamesPYY-I Peptide tyrosine tyrosine Cleaved into the following chain: Peptide YY(3-36) Alternative name(s): PYY-II
ApplicationELISA, IHC; Recommended dilution: IHC:1:200-1:500