BackgroundHas low, barely detectable phosphoribosyltransferase activity (in vitro). Binds GMP, IMP and alpha-D-5-phosphoribosyl 1-pyrophosphate (PRPP). Is not expected to contribute to purine metabolism or GMP salvage.
DescriptionPRTFDC1 Polyclonal Antibody. Unconjugated. Raised in: Rabbit.
FormulationLiquid. 0.03% Proclin 300, 50% Glycerol, 0.01M PBS, PH 7.4.
SpecificityHuman
IsotypeIgG
Uniprot IDQ9NRG1
Purification>95%, Protein G purified
ImmunogenRecombinant Human Phosphoribosyltransferase domain-containing protein 1 (2-225AA)
StorageShipped at 4°C. Upon delivery aliquot and store at -20°C (short-term) or -80°C (long-term). Avoid repeated freeze.
Alternative NamesPhosphoribosyltransferase domain-containing protein 1, PRTFDC1, HHGP
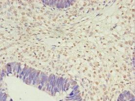
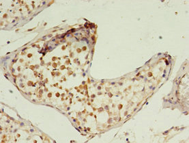
ApplicationELISA, IHC; Recommended dilution: IHC:1:20-1:200