BackgroundActs as a negative regulator of entry into mitosis (G2 to M transition) by phosphorylation of the CDK1 kinase specifically when CDK1 is complexed to cyclins. Mediates phosphorylation of CDK1 predominantly on 'Thr-14'. Also involved in Golgi fragmentation. May be involved in phosphorylation of CDK1 on 'Tyr-15' to a lesser degree, however tyrosine kinase activity is unclear and may be indirect. May be a downstream target of Notch signaling pathway during eye development.
DescriptionPKMYT1 Polyclonal Antibody. Unconjugated. Raised in: Rabbit.
FormulationLiquid. 0.03% Proclin 300, 50% Glycerol, 0.01M PBS, PH 7.4.
SpecificityHuman
IsotypeIgG
Uniprot IDQ99640
Purification>95%, Protein G purified
ImmunogenRecombinant Human Membrane-associated tyrosine- and threonine-specific cdc2-inhibitory kinase protein (900-1101AA)
StorageShipped at 4°C. Upon delivery aliquot and store at -20°C (short-term) or -80°C (long-term). Avoid repeated freeze.
Alternative NamesMyt1 kinase, PKMYT1, MYT1
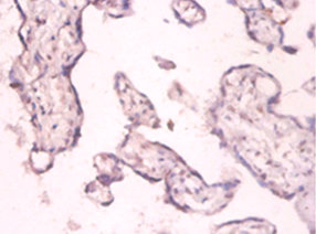
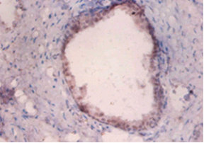
ApplicationELISA, IHC; Recommended dilution: IHC:1:20-1:200