BackgroundMay play a role in chaperone-mediated protein folding.
DescriptionPDRG1 Polyclonal Antibody. Unconjugated. Raised in: Rabbit.
FormulationLiquid. 0.03% Proclin 300, 50% Glycerol, 0.01M PBS, PH 7.4.
SpecificityHuman
IsotypeIgG
Uniprot IDQ9NUG6
Purification>95%, Protein G purified
ImmunogenRecombinant Human p53 and DNA damage-regulated protein 1 protein (1-133AA)
StorageShipped at 4°C. Upon delivery aliquot and store at -20°C (short-term) or -80°C (long-term). Avoid repeated freeze.
Alternative NamesC20orf126, PDRG, PDRG1
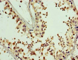
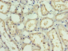
ApplicationELISA, IHC, IF; Recommended dilution: IHC:1:20-1:200, IF:1:50-1:200