BackgroundTranscription factor with important functions in the development of the eye, nose, central nervous system and pancreas. Required for the differentiation of pancreatic islet alpha cells (By similarity). Competes with PAX4 in binding to a common element in the glucagon, insulin and somatostatin promoters. Regulates specification of the ventral neuron subtypes by establishing the correct progenitor domains (By similarity). Acts as a transcriptional repressor of NFATC1-mediated gene expression (By similarity).
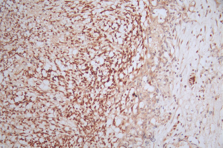
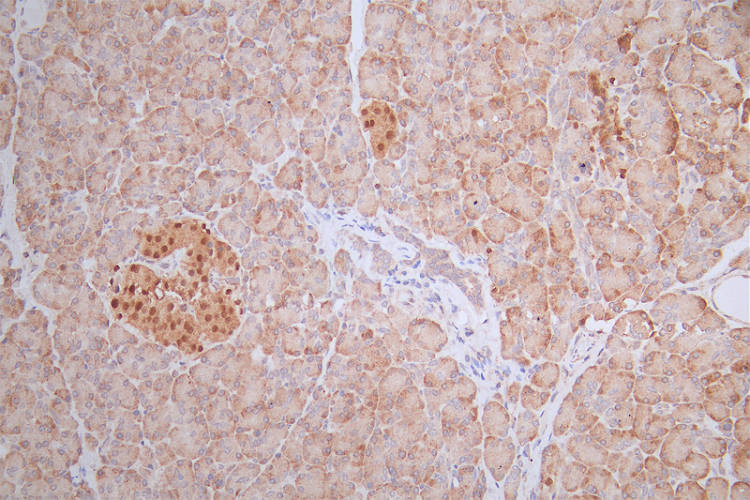
DescriptionPAX6 Recombinant Monoclonal Antibody [22C3]. Unconjugated. Raised in: HEK293F Cell.
FormulationBuffer: Rabbit IgG in phosphate buffered saline, pH 7.4, 150mM NaCl, 0.02% sodium azide and 50% glycerol.
SpecificityHuman
IsotypeRabbit IgG
Uniprot IDP26367
PurificationAffinity Chromatography
ImmunogenA synthesized peptide derived from Human PAX6
StorageUpon receipt, store at -20°C or -80°C. Avoid repeated freeze.
Alternative NamesPaired box protein Pax-6 (Aniridia type II protein) (Oculorhombin), PAX6, AN2
ApplicationELISA, IHC, FC; Recommended dilution: IHC:1:50-1:200, FC:1:50-1:200