BackgroundTogether with BCAR1 it may play a role in the control of epithelial cell polarity. Involved in the organization of apical junctions in kidney cells together with NPHP4 and RPGRIP1L/NPHP8
DescriptionNPHP1 Polyclonal Antibody. Unconjugated. Raised in: Rabbit.
FormulationLiquid. 0.03% Proclin 300, 50% Glycerol, 0.01M PBS, PH 7.4.
SpecificityHuman
IsotypeIgG
Uniprot IDO15259
Purification>95%, Protein G purified
ImmunogenRecombinant Human Nephrocystin-1 protein (1-109AA)
StorageShipped at 4°C. Upon delivery aliquot and store at -20°C (short-term) or -80°C (long-term). Avoid repeated freeze.
Alternative NamesJuvenile nephronophthisis 1 protein NPHP1 NPH1
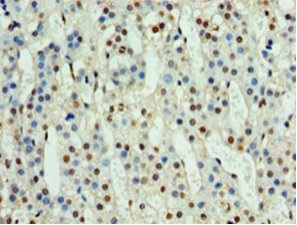
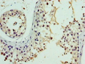
ApplicationELISA, IHC, IF; Recommended dilution: IHC:1:20-1:200, IF:1:50-1:200