BackgroundBinds LDL, the major cholesterol-carrying lipoprotein of plasma, and transports it into cells by endocytosis. In order to be internalized, the receptor-ligand complexes must first cluster into clathrin-coated pits.
DescriptionLDLR Recombinant Monoclonal Antibody [2B10]. Unconjugated. Raised in: HEK293F Cell.
FormulationBuffer: Rabbit IgG in phosphate buffered saline, pH 7.4, 150mM NaCl, 0.02% sodium azide and 50% glycerol.
SpecificityHuman
IsotypeRabbit IgG
Uniprot IDP01130
PurificationAffinity-chromatography
ImmunogenA synthesized peptide derived from human LDL Receptor
StorageUpon receipt, store at -20°C or -80°C. Avoid repeated freeze.
Alternative NamesLow-density lipoprotein receptor (LDL receptor), LDLR
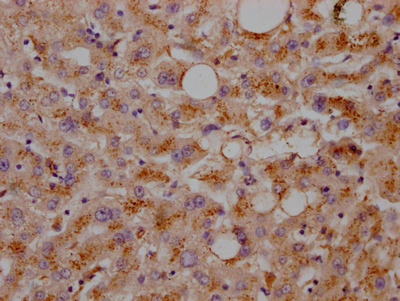
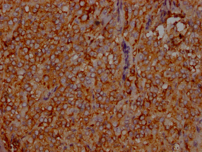
ApplicationELISA, IHC, IF, FC; Recommended dilution: IHC:1:50-1:200, IF:1:20-1:200, FC:1:20-1:200