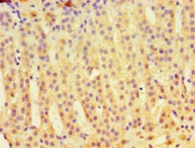
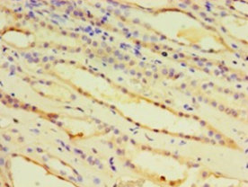
DescriptionIDUA Polyclonal Antibody. Unconjugated. Raised in: Rabbit.
Formulation0.03% Proclin 300, 50% Glycerol, 0.01M PBS, PH 7.4
SpecificityHuman
IsotypeIgG
Uniprot IDP35475
PurificationProtein G purified
ImmunogenRecombinant Human Alpha-L-iduronidase protein (28-653AA)
StorageShipped at 4°C. Upon delivery aliquot and store at -20°C (short-term) or -80°C (long-term). Avoid repeated freeze.
Alternative NamesAlpha-L-iduronidase, IDUA
ApplicationELISA, IHC; Recommended dilution: IHC:1:200-1:500