BackgroundThis gene encodes a member of the heat shock protein 90 family; these proteins are involved in signal transduction, protein folding and degradation and morphological evolution. This gene encodes the constitutive form of the cytosolic 90 kDa heat-shock protein and is thought to play a role in gastric apoptosis and inflammation. Alternative splicing results in multiple transcript variants. Pseudogenes have been identified on multiple chromosomes.
DescriptionHSP90AB1 Recombinant Monoclonal Antibody [7F4]. Unconjugated. Raised in: HEK293F Cell.
FormulationBuffer: Rabbit IgG in phosphate buffered saline, pH 7.4, 150mM NaCl, 0.02% sodium azide and 50% glycerol.
SpecificityHuman
IsotypeRabbit IgG
Uniprot IDP08238
PurificationAffinity Chromatography
ImmunogenA synthesized peptide derived from Human HSP90AB1
StorageUpon receipt, store at -20°C or -80°C. Avoid repeated freeze.
Alternative NamesHeat shock protein HSP 90-beta (HSP 90) (Heat shock 84 kDa) (HSP 84) (HSP84), HSP90AB1, HSP90B HSPC2 HSPCB
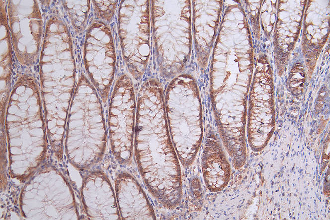
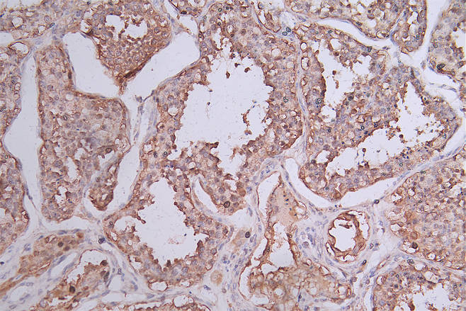
ApplicationELISA, IHC, FC; Recommended dilution: IHC:1:50-1:200, FC:1:50-1:200