BackgroundHistones, fundamental nuclear proteins, shape the nucleosome structure in eukaryotic chromosomal fibers. Core histones (H2A, H2B, H3, and H4) create octamers, around which about 146 bp of DNA forms repeating nucleosomes. The linker histone, H1, interacts with nucleosome-linking DNA, aiding chromatin compaction. This gene encodes a replication-independent histone, part of the H2A family, producing two transcripts via conserved stem-loop termination and polyA addition motifs.
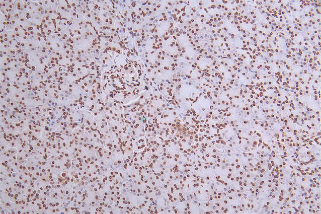
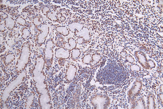
DescriptionH2AFX Recombinant Monoclonal Antibody [29H6]. Unconjugated. Raised in: HEK293F Cell.
FormulationBuffer: Rabbit IgG in phosphate buffered saline, pH 7.4, 150mM NaCl, 0.02% sodium azide and 50% glycerol.
SpecificityHuman
IsotypeRabbit IgG
Uniprot IDP16104
PurificationAffinity Chromatography
ImmunogenA synthesized peptide derived from Human H2AFX
StorageUpon receipt, store at -20°C or -80°C. Avoid repeated freeze.
Alternative NamesHistone H2AX (H2a/x) (Histone H2A.X), H2AFX, H2AX
ApplicationELISA, IHC, FC; Recommended dilution: IHC:1:50-1:200, FC:1:50-1:200