BackgroundThis enzyme is necessary for target cell lysis in cell-mediated immune responses. It cleaves after Asp. Seems to be linked to an activation cascade of caspases (aspartate-specific cysteine proteases) responsible for apoptosis execution. Cleaves caspase-3, -7, -9 and 10 to give rise to active enzymes mediating apoptosis.
DescriptionGZMB Polyclonal Antibody. Unconjugated. Raised in: Rabbit.
Formulation0.03% Proclin 300, 50% Glycerol, 0.01M PBS, PH 7.4
SpecificityHuman
IsotypeIgG
Uniprot IDP10144
PurificationProtein G purified
ImmunogenRecombinant Human Granzyme B protein (21-247AA)
StorageShipped at 4°C. Upon delivery aliquot and store at -20°C (short-term) or -80°C (long-term). Avoid repeated freeze.
Alternative NamesC11, CTLA-1, Cathepsin G-like 1, CTSGL1, Cytotoxic T-lymphocyte proteinase 2, Lymphocyte protease, Fragmentin-2, Granzyme-2, Human lymphocyte protein, HLP, SECT, T-cell serine protease 1-3E, GZMB, CGL1, CSPB, CTLA1, GRB
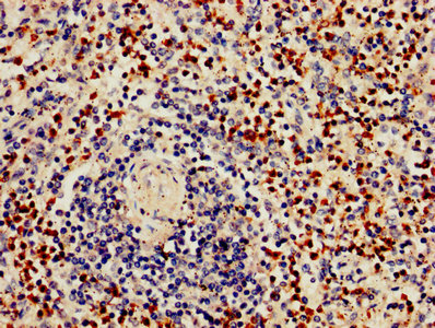
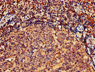
ApplicationELISA, IHC, IF; Recommended dilution: IHC:1:500-1:1000, IF:1:200-1:500