BackgroundProbably involved in connections of major cytoskeletal structures to the plasma membrane. In epithelial cells, required for the formation of microvilli and membrane ruffles on the apical pole. Along with PLEKHG6, required for normal macropinocytosis.
DescriptionEZR Recombinant Monoclonal Antibody [7F11]. Unconjugated. Raised in: HEK293F Cell.
FormulationBuffer: Rabbit IgG in phosphate buffered saline, pH 7.4, 150mM NaCl, 0.02% sodium azide and 50% glycerol.
SpecificityHuman
IsotypeRabbit IgG
Uniprot IDP15311
PurificationAffinity Chromatography
ImmunogenA synthesized peptide derived from human EZR
StorageUpon receipt, store at -20°C or -80°C. Avoid repeated freeze.
Alternative NamesEzrin (Cytovillin) (Villin-2) (p81), EZR, VIL2
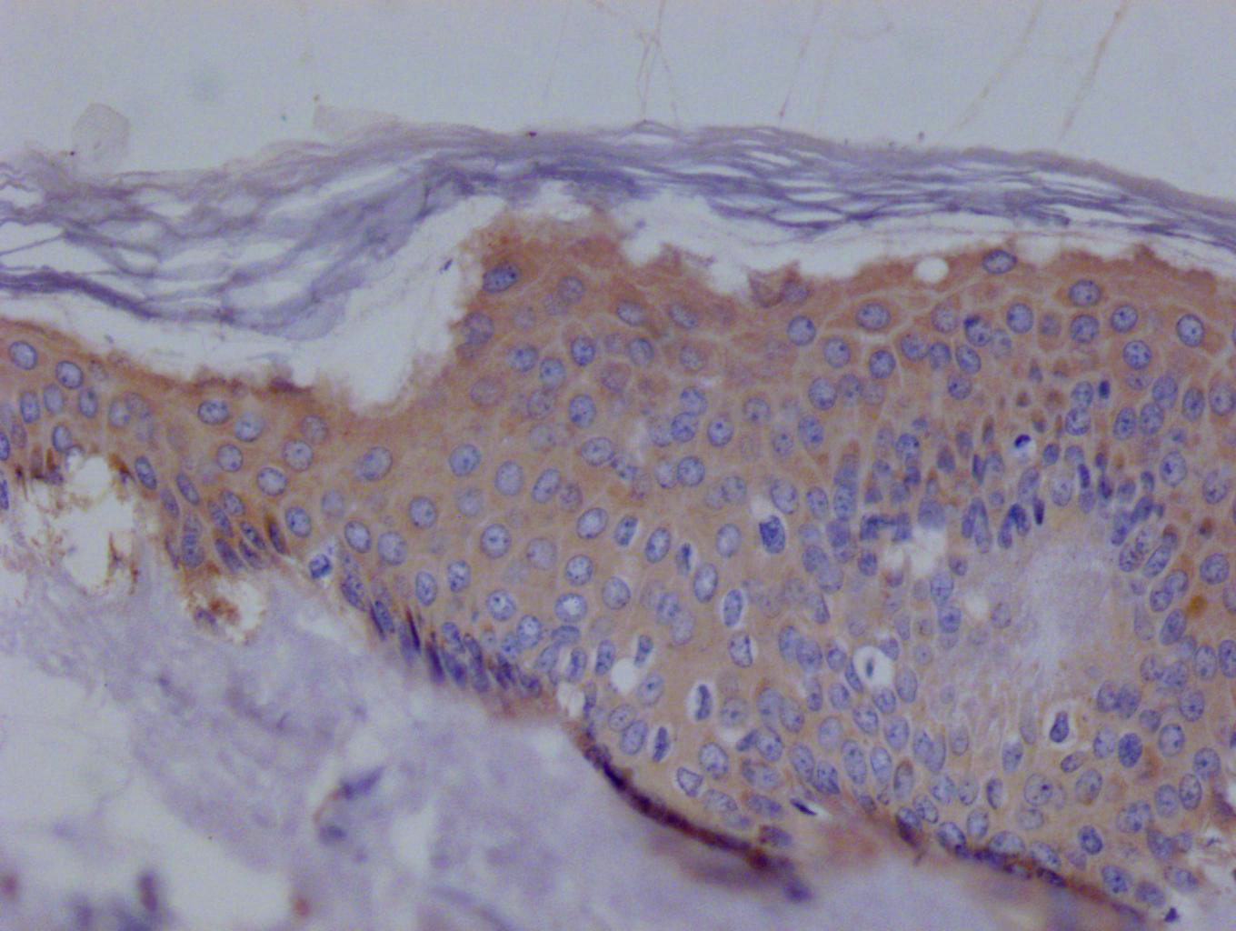
ApplicationELISA, IHC; Recommended dilution: IHC:1:50-1:200