BackgroundAppears to have a role in the catabolic pathway of the renin-angiotensin system. Probably plays a role in regulating growth and differentiation of early B-lineage cells.
DescriptionENPEP Recombinant Monoclonal Antibody [2G11]. Unconjugated. Raised in: HEK293F Cell.
FormulationBuffer: Rabbit IgG in phosphate buffered saline, pH 7.4, 150mM NaCl, 0.02% sodium azide and 50% glycerol.
SpecificityHuman
IsotypeRabbit IgG
Uniprot IDQ07075
PurificationAffinity Chromatography
ImmunogenA synthesized peptide derived from human Aminopeptidase A / CD249
StorageUpon receipt, store at -20°C or -80°C. Avoid repeated freeze.
Alternative NamesGlutamyl aminopeptidase (EAP) (EC 3.4.11.7) (Aminopeptidase A) (AP-A) (Differentiation antigen gp160) (CD antigen CD249), ENPEP
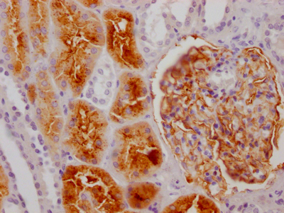
ApplicationELISA, IHC; Recommended dilution: IHC:1:50-1:200