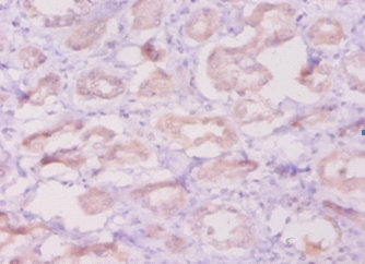
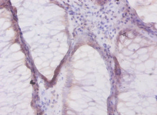
BackgroundHas bactericidal activity.
DescriptionDEFB1 Polyclonal Antibody. Unconjugated. Raised in: Rabbit.
FormulationLiquid. 0.03% Proclin 300, 50% Glycerol, 0.01M PBS, PH 7.4.
SpecificityHuman
IsotypeIgG
Uniprot IDP60022
Purification>95%, Protein G purified
ImmunogenRecombinant Human Beta-defensin 1 protein (33-68AA)
StorageShipped at 4°C. Upon delivery aliquot and store at -20°C (short-term) or -80°C (long-term). Avoid repeated freeze.
Alternative NamesDefensin, beta 1, DEFB1, BD1, HBD1
ApplicationELISA, IHC, IF; Recommended dilution: IHC:1:20-1:200, IF:1:50-1:200