BackgroundThis enzyme is involved in the de novo synthesis of CTP, a precursor of DNA, RNA and phospholipids. Catalyzes the ATP-dependent amination of UTP to CTP with either L-glutamine or ammonia as a source of nitrogen. This enzyme and its product, CTP, play a crucial role in the proliferation of activated lymphocytes and therefore in immunity.
DescriptionCTPS1 Recombinant Monoclonal Antibody [13B6]. Unconjugated. Raised in: HEK293F Cell.
FormulationBuffer: Rabbit IgG in phosphate buffered saline, pH 7.4, 150mM NaCl, 0.02% sodium azide and 50% glycerol.
SpecificityHuman
IsotypeRabbit IgG
Uniprot IDP17812
PurificationAffinity Chromatography
ImmunogenA synthesized peptide derived from human CTPS1
StorageUpon receipt, store at -20°C or -80°C. Avoid repeated freeze.
Alternative NamesCTP synthase 1 (EC 6.3.4.2) (CTP synthetase 1) (UTP--ammonia ligase 1), CTPS1, CTPS
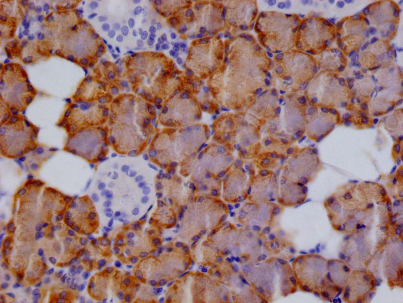
ApplicationELISA, IHC; Recommended dilution: IHC:1:50-1:200