BackgroundReversibly catalyzes the transfer of phosphate between ATP and various phosphogens (e. g. creatine phosphate). Creatine kinase isoenzymes play a central role in energy transduction in tissues with large, fluctuating energy demands, such as skeletal muscle, heart, brain and spermatozoa.
DescriptionCKMT1A Polyclonal Antibody. Unconjugated. Raised in: Rabbit.
FormulationLiquid. 0.03% Proclin 300, 50% Glycerol, 0.01M PBS, PH 7.4.
SpecificityHuman
IsotypeIgG
Uniprot IDP12532
Purification>95%, Protein G purified
ImmunogenRecombinant Human Creatine kinase U-type, mitochondrial protein (40-417AA)
StorageShipped at 4°C. Upon delivery aliquot and store at -20°C (short-term) or -80°C (long-term). Avoid repeated freeze.
Alternative NamesCKMT, CKMT1B, CKMT1A, Acidic-type mitochondrial creatine kinase, Mia-CK, Ubiquitous mitochondrial creatine kinase, U-MtCK
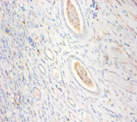
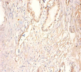
ApplicationELISA, IHC, IF; Recommended dilution: IHC:1:20-1:200, IF:1:50-1:200