BackgroundThe four human glycoprotein hormones chorionic gonadotropin (CG), luteinizing hormone (LH), follicle stimulating hormone (FSH), and thyroid stimulating hormone (TSH) are dimers consisting of alpha and beta subunits that are associated noncovalently. The alpha subunits of these hormones are identical, however, their beta chains are unique and confer biological specificity. Thyroid stimulating hormone functions in the control of thyroid structure and metabolism. The protein encoded by this gene is the beta subunit of thyroid stimulating hormone. Mutations in this gene are associated with congenital central and secondary hypothyroidism and Hashimoto's thyroiditis. Alternative splicing of this gene results in multiple transcript variants.
DescriptionTSHB Polyclonal Antibody. Unconjugated. Raised in: Rabbit.
FormulationBuffer: PBS with 0.02% sodium azide, 50% glycerol, pH7.3.
SpecificityHuman, Mouse
IsotypeIgG
Uniprot IDP01222
PurificationAffinity Purification
ImmunogenRecombinant fusion protein containing a sequence corresponding to amino acids 21-138 of human TSHB (NP_000540.2).
StorageShipped at 4°C. Upon receipt, store at -20°C. Avoid freeze / thaw cycles
Alternative NamesTSHB; TSH-B; TSH-BETA; thyrotropin subunit beta
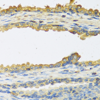
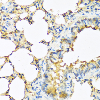
ApplicationWB, IHC, IF; Recommended dilution: WB 1:500 - 1:2000, IHC 1:50 - 1:100, IF 1:50 - 1:100