BackgroundCould be a guanine-nucleotide releasing factor. Plays a role in ciliogenesis. Probably regulates cilia formation by regulating actin stress filaments and cell contractility. Plays an important role in photoreceptor integrity. May play a critical role in spermatogenesis and in intraflagellar transport processes. May be involved in microtubule organization and regulation of transport in primary cilia.
DescriptionRPGR Polyclonal Antibody. Unconjugated. Raised in: Rabbit.
Formulation0.03% Proclin 300, 50% Glycerol, 0.01M PBS, PH 7.4.
SpecificityHuman
IsotypeIgG
Uniprot IDQ92834
PurificationProtein G purified
ImmunogenRecombinant Human X-linked retinitis pigmentosa GTPase regulator protein (1-180AA)
StorageShipped at 4°C. Upon delivery aliquot and store at -20°C (short-term) or -80°C (long-term). Avoid repeated freeze.
Alternative NamesX-linked retinitis pigmentosa GTPase regulator, RPGR, RP3, XLRP3
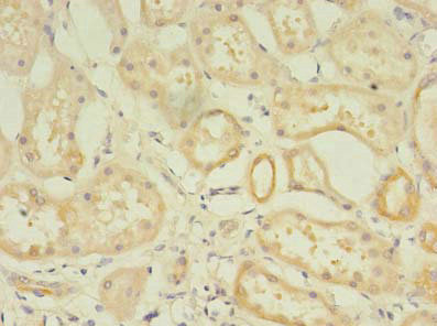
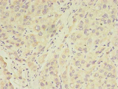
ApplicationELISA, WB, IHC, IF; Recommended dilution: WB:1:500-1:2000, IHC:1:20-1:200, IF:1:50-1:200