BackgroundThe protein encoded by this gene has been shown to be involved in the regulation of cell proliferation, and in the crosstalk between the adiponectin signalling and insulin signalling pathways. The encoded protein binds many other proteins, including RAB5A, DCC, AKT2, PIK3CA, adiponectin receptors, and proteins of the NuRD/MeCP1 complex. This protein is found associated with endosomal membranes, but can be released by EGF and translocated to the nucleus.
DescriptionAPPL1 Polyclonal Antibody. Unconjugated. Raised in: Rabbit.
FormulationBuffer: PBS with 0.02% sodium azide, 50% glycerol, pH7.3.
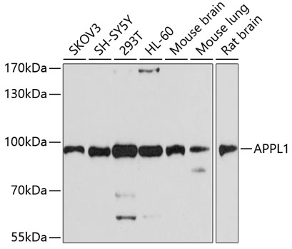
SpecificityHuman, Mouse, Rat
IsotypeIgG
Uniprot IDQ9UKG1
PurificationAffinity Purification
ImmunogenRecombinant fusion protein containing a sequence corresponding to amino acids 1-210 of human APPL1 (NP_036228.1).
StorageShipped at 4°C. Upon receipt, store at -20°C. Avoid freeze / thaw cycles
Alternative NamesAPPL1; APPL; DIP13alpha; MODY14; DCC-interacting protein 13-alpha
ApplicationWB; Recommended dilution: WB 1:500 - 1:2000