Immunoprecipitating Phospho-LAT in A549 whole cell lysate Lane 1: Rabbit control IgG(1μg)instead of p-LAT rMAb in A549 whole cell lysate. For western blotting,a HRP-conjugated Protein G antibody was used as the secondary antibody (1/2000) Lane 2: p-LAT rMAb(3μg)+ A549 whole cell lysate(1mg) Lane 3: A549 whole cell lysate (20μg)
BackgroundRequired for TCR (T-cell antigen receptor)- and pre-TCR-mediated signaling, both in mature T-cells and during their development. Involved in FCGR3 (low affinity immunoglobulin gamma Fc region receptor III)-mediated signaling in natural killer cells and FCER1 (high affinity immunoglobulin epsilon receptor)-mediated signaling in mast cells. Couples activation of these receptors and their associated kinases with distal intracellular events such as mobilization of intracellular calcium stores, PKC activation, MAPK activation or cytoskeletal reorganization through the recruitment of PLCG1, GRB2, GRAP2, and other signaling molecules.
DescriptionPhospho-LAT (Y191) Recombinant Monoclonal Antibody [2E4]. Unconjugated. Raised in: HEK293F Cell.
FormulationBuffer: Rabbit IgG in phosphate buffered saline, pH 7.4, 150mM NaCl, 0.02% sodium azide and 50% glycerol.
SpecificityHuman
IsotypeRabbit IgG
Uniprot IDO43561
PurificationAffinity-chromatography
ImmunogenA synthesized peptide derived from human Phospho-LAT (Y191)
StorageUpon receipt, store at -20°C or -80°C. Avoid repeated freeze.
Alternative NamesLinker for activation of T-cells family member 1, 36 kDa phospho-tyrosine adapter protein, pp36, p36-38, LAT
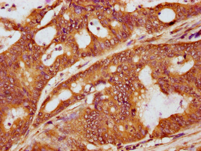
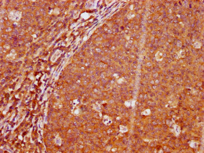
ApplicationELISA, WB, IHC, IF, IP; Recommended dilution: WB:1:500-1:5000, IHC:1:50-1:200, IF:1:20-1:200, IP:1:200-1:1000