BackgroundThe protein encoded by this gene is a member of the MAP kinase family. MAP kinases, also known as extracellular signal-regulated kinases (ERKs), act in a signaling cascade that regulates various cellular processes such as proliferation, differentiation, and cell cycle progression in response to a variety of extracellular signals. This kinase is activated by upstream kinases, resulting in its translocation to the nucleus where it phosphorylates nuclear targets. Alternatively spliced transcript variants encoding different protein isoforms have been described.
DescriptionMAPK3 Polyclonal Antibody. Unconjugated. Raised in: Rabbit.
FormulationBuffer: PBS with 0.02% sodium azide, 50% glycerol, pH7.3.
SpecificityHuman, Mouse, Rat
IsotypeIgG
Uniprot IDP27361
PurificationAffinity Purified
ImmunogenA synthetic peptide corresponding to a sequence within amino acids 1-100 of human MAPK3 (NP_002737.2)
StorageShipped at 4°C. Upon receipt, store at -20°C. Avoid freeze / thaw cycles
Alternative NamesMAPK3; ERK-1; ERK1; ERT2; HS44KDAP; HUMKER1A; P44ERK1; P44MAPK; PRKM3; p44-ERK1; p44-MAPK; mitogen-activated protein kinase 3
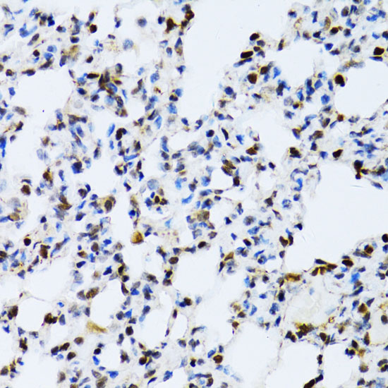
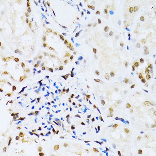
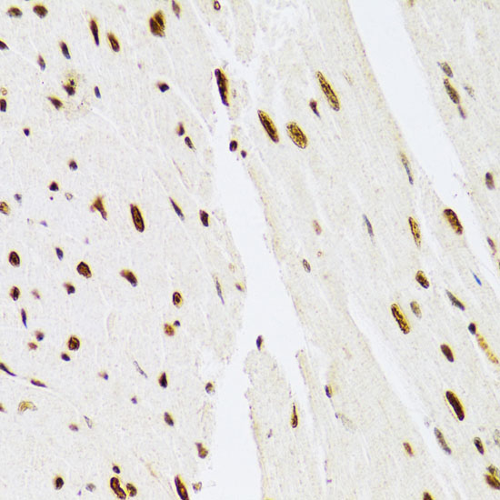
ApplicationWB, IHC, IF; Recommended dilution: WB 1:500 - 1:2000, IHC 1:50 - 1:200, IF 1:50 - 1:200