BackgroundAfter removal of the precursor signal peptide, proinsulin is post-translationally cleaved into three peptides: the B chain and A chain peptides, which are covalently linked via two disulfide bonds to form insulin, and C-peptide. Binding of insulin to the insulin receptor (INSR) stimulates glucose uptake. A multitude of mutant alleles with phenotypic effects have been identified. There is a read-through gene, INS-IGF2, which overlaps with this gene at the 5' region and with the IGF2 gene at the 3' region. Alternative splicing results in multiple transcript variants.
DescriptionINS Polyclonal Antibody. Unconjugated. Raised in: Rabbit.
FormulationBuffer: PBS with 0.02% sodium azide, 50% glycerol, pH7.3.
SpecificityHuman, Mouse, Rat
IsotypeIgG
Uniprot IDP01308
PurificationAffinity Purification
ImmunogenRecombinant fusion protein containing a sequence corresponding to amino acids 1-110 of human INS (NP_000198.1).
StorageShipped at 4°C. Upon receipt, store at -20°C. Avoid freeze / thaw cycles
Alternative NamesINS; IDDM; IDDM1; IDDM2; ILPR; IRDN; MODY10; insulin
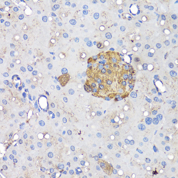
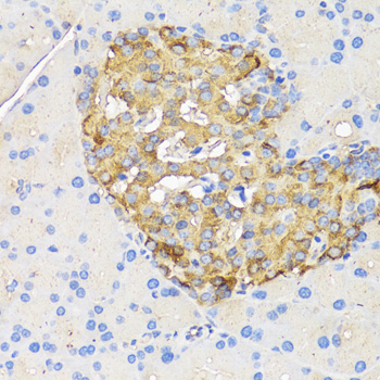
ApplicationWB, IHC, IF; Recommended dilution: WB 1:500 - 1:2000, IHC 1:50 - 1:200, IF 1:50 - 1:200