BackgroundThe cytoskeleton-linking membrane protein of 62kDa (CLIMP-63) is a marker for the reticular subdomain of the rough endoplasmatic reticulum (ER) and is excluded from the outer nuclear membrane. Concentration of CLIMP-63 into patches may enhance microtubule binding on the cytosolic side and contribute to ER morphology by the formation of a protein scaffold in the lumen of the ER, linking the rough ER to microtubules.
DescriptionCLIMP-63 Polyclonal Antibody. Unconjugated. Raised in: Rabbit.
FormulationBuffer: PBS with 0.02% sodium azide, 50% glycerol, pH7.3.
SpecificityHuman, Mouse, Rat
IsotypeIgG
Uniprot IDQ07065
PurificationAffinity Purification
ImmunogenA synthetic peptide of human CKAP4
StorageShipped at 4°C. Upon receipt, store at -20°C. Avoid freeze / thaw cycles
Alternative NamesER protein p63, Cytoskeleton-linking membrane protein of 63kDa, CKAP4, ERGIC-63
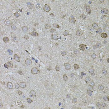
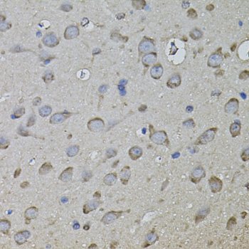
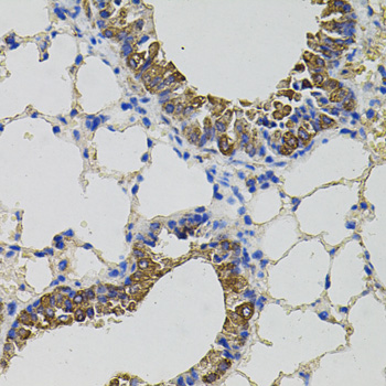
ApplicationWB, IHC, IF; Recommended dilution: WB: 1:500-1:2000, IHC: 1:50-1:100, IF:1:50-1:100