BackgroundThe protein encoded by this gene is an endothelial cell adhesion molecule that interacts preferentially with the leukocyte beta7 integrin LPAM-1 (alpha4beta7), L-selectin, and VLA-4 (alpha4beta1) on myeloid cells to direct leukocytes into mucosal and inflamed tissues. It is a member of the immunoglobulin family and is similar to ICAM1 and VCAM1. At least seven alternatively spliced transcripts encoding different protein isoforms have been found for this gene, but the full-length nature of some variants has not been determined.
DescriptionMADCAM1 Polyclonal Antibody. Unconjugated. Raised in: Rabbit.
FormulationBuffer: PBS with 0.02% sodium azide, 50% glycerol, pH7.3.
SpecificityHuman, Mouse, Rat
IsotypeIgG
Uniprot IDQ13477
PurificationAffinity Purification
ImmunogenA synthetic peptide of human MADCAM1
StorageShipped at 4°C. Upon receipt, store at -20°C. Avoid freeze / thaw cycles
Alternative NamesMADCAM1; MACAM1; mucosal addressin cell adhesion molecule 1
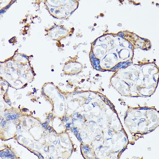
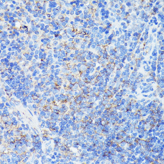
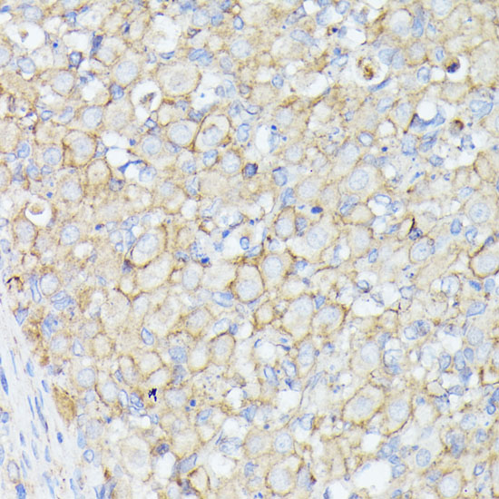
ApplicationWB, IHC; Recommended dilution: WB 1:200 - 1:1000, IHC 1:50 - 1:100