BackgroundThe protein encoded by this gene is a cationic amino acid transporter and a member of the APC (amino acid-polyamine-organocation) family of transporters. The encoded membrane protein is responsible for the cellular uptake of arginine, lysine and ornithine. Three transcript variants encoding different isoforms have been found for this gene.
DescriptionSLC7A2 Polyclonal Antibody. Unconjugated. Raised in: Rabbit.
FormulationBuffer: PBS with 0.05% proclin300, 50% glycerol, pH7.3.
SpecificityHuman, Mouse, Rat
IsotypeIgG
Uniprot IDP52569
PurificationAffinity Purification
ImmunogenA synthetic peptide corresponding to a sequence within amino acids 500 to the C-terminus of human SLC7A2 (NP_001008539.3).
StorageShipped at 4°C. Upon receipt, store at -20°C. Avoid freeze / thaw cycles
Alternative NamesSLC7A2; ATRC2; CAT2; HCAT2; solute carrier family 7 member 2
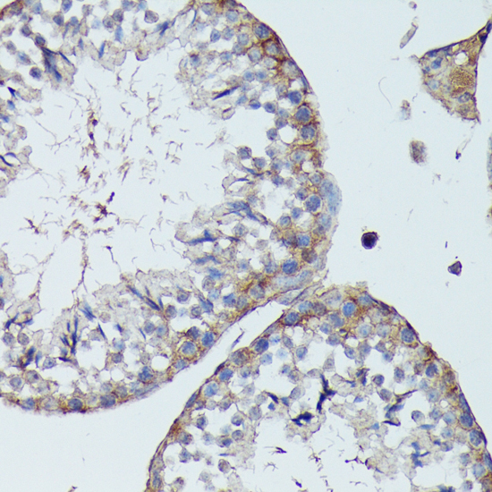
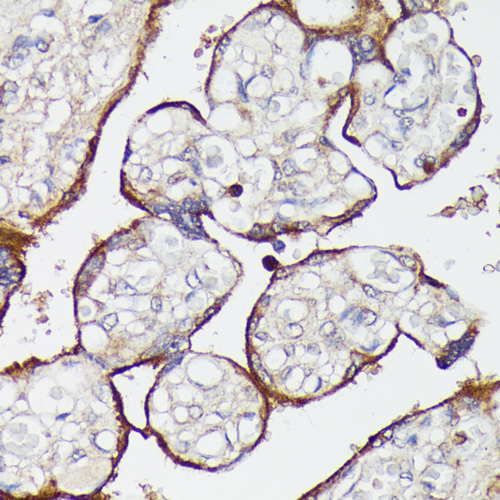
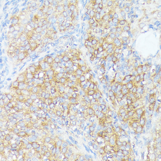
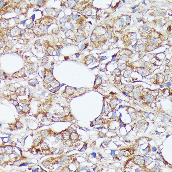
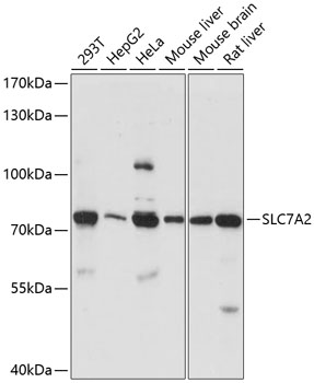
ApplicationWB, IHC: Recommended dilution: WB 1:500 - 1:1000, IHC-P 1:50 - 1:100