BackgroundCardiac hormone which may function as a paracrine antifibrotic factor in the heart. Also plays a key role in cardiovascular homeostasis through natriuresis, diuresis, vasorelaxation, and inhibition of renin and aldosterone secretion. Specifically binds and stimulates the cGMP production of the NPR1 receptor. Binds the clearance receptor NPR3.
DescriptionNPPB Polyclonal Antibody. Unconjugated. Raised in: Rabbit.
Formulation0.03% Proclin 300, 50% Glycerol, 0.01M PBS, PH 7.4
SpecificityHuman, Mouse
IsotypeIgG
Uniprot IDP16860
PurificationProtein G purified
ImmunogenRecombinant Human Natriuretic peptides B protein (27-102AA)
StorageShipped at 4°C. Upon delivery aliquot and store at -20°C (short-term) or -80°C (long-term). Avoid repeated freeze.
Alternative NamesNatriuretic peptides B, Gamma-brain natriuretic peptide, NPPB
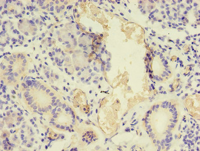
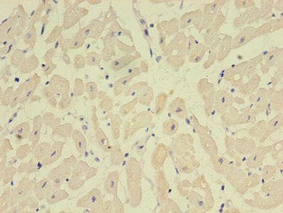
ApplicationELISA, WB, IHC, IF; Recommended dilution: WB:1:500-1:5000, IHC:1:20-1:200, IF:1:50-1:200