BackgroundThis gene encodes a member of the immunoglobulin receptor superfamily and is one of several Fc receptor-like glycoproteins clustered on the long arm of chromosome 1. The encoded protein has four extracellular C2-type immunoglobulin domains, a transmembrane domain and a cytoplasmic domain that contains three immune-receptor tyrosine-based inhibitory motifs. This protein may play a role in the function of memory B-cells in the epithelia. Aberrations in the chromosomal region encoding this gene are associated with non-Hodgkin lymphoma and multiple myeloma.
DescriptionFCRL4 Polyclonal Antibody. Unconjugated. Raised in: Rabbit.
FormulationBuffer: PBS with 0.02% sodium azide, 50% glycerol, pH7.3.
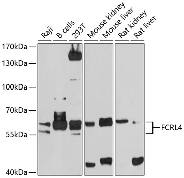
SpecificityHuman, Mouse, Rat
IsotypeIgG
Uniprot IDQ96PJ5
PurificationAffinity Purification
ImmunogenRecombinant fusion protein containing a sequence corresponding to amino acids 120-387 of human FCRL4 (NP_112572.1).
StorageShipped at 4°C. Upon receipt, store at -20°C. Avoid freeze / thaw cycles
Alternative NamesFCRL4; CD307d; FCRH4; IGFP2; IRTA1; Fc receptor like 4
ApplicationELISA, WB; Recommended dilution: WB 1:500 - 1:2000